-
SLIT

SUBLINGUAL IMMUNOTHERAPY Sublingual immunotherapy has become more and more popular in the United States, and is often a good method of treating allergies in pediatric patients. Sublingual immunotherapy (SLIT) has been popular in Europe for…
-
Orbital Decompression

Endoscopic orbital decompression is a surgical procedure to relieve symptoms caused by excessive pressure on the eye. This type of problem can occur in patients who have: When these symptoms cause significant problems, the pressure…
-
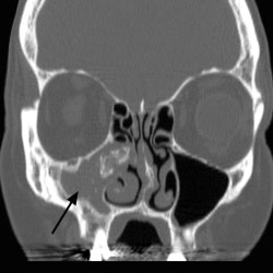
Non Invasive Fungal Sinusitis

Non-invasive fungal sinusitis can cause bothersome symptoms like nasal congestion, drainage, and headaches. Examples of non-invasive fungal sinusitis include: Typically, these conditions may require endoscopic sinus surgery and medical treatment.
-
What is Rhinosinusitis And How Is It Treated?
Rhinosinusitis is the medical term for inflammation of the sinuses. If this inflammation has gone on for three months or longer, a patient may have chronic rhinosinusitis. Rhinosinusitis can cause symptoms such as: These symptoms can occur…
-
Acute Invasive Fungal Sinusitis

This is the most dangerous and life-threatening form of fungal sinusitis. Fortunately, it is very rare. This aggressive disease causes fungus to rapidly grow throughout sinus tissue and bone, extending to the area around the…
-
What Can I Expect After My Surgery?
Most patients will experience significant improvement in their symptoms soon after sinus surgery. However, it does take time for the body to heal, and while some patients may notice dramatic improvement immediately following surgery, others…
-
How Do I Prepare For Surgery?
Prior to surgery, you may need the following: Depending upon any other medical conditions, you may need additional evaluations. This is all done in order to ensure that anesthesia and surgery will be as safe…
-
Revision Sinus Surgery

Endoscopic sinus surgery is a common procedure that is usually performed for patients with chronic sinusitis. Chronic sinusitis can dramatically affect a patient’s quality of life. Ninety percent of patients who have undergone sinus surgery…
-
Fungus Ball

A fungus ball occurs when there is an overgrowth of fungal elements in the sinuses, particularly the maxillary and the sphenoid sinuses, where the fungus thrives in the warmth and humidity. Common molds such as…
-
Pediatric Sinusitis
SINUSITIS IN CHILDREN Rhinosinusitis, or sinusitis, is an inflammation of the nose and sinuses and is a very common condition affecting children. Pediatric sinusitis can be caused by: In children, a common cold or viral infection may…