-
Non Allergic Fungal Sinusitis
In some instances, mucin (the main component of mucus) and fungus may be found in patients with sinusitis who do not have any allergies to the fungus. Fungus may also be found in the sinuses…
-
Non Invasive Fungal Sinusitis
Non-invasive fungal sinusitis can cause bothersome symptoms like nasal congestion, drainage, and headaches. Examples of non-invasive fungal sinusitis include: Typically, these conditions may require endoscopic sinus surgery and medical treatment.
-
Acute Invasive Fungal Sinusitis
This is the most dangerous and life-threatening form of fungal sinusitis. Fortunately, it is very rare. This aggressive disease causes fungus to rapidly grow throughout sinus tissue and bone, extending to the area around the…
-
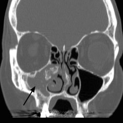
Fungus Ball
A fungus ball occurs when there is an overgrowth of fungal elements in the sinuses, particularly the maxillary and the sphenoid sinuses, where the fungus thrives in the warmth and humidity. Common molds such as…
-
Allergic Fungal Sinusitis
Patients with allergy to certain fungi may develop allergic fungal sinusitis. This occurs when the presence of fungus in the sinuses elicits a severe allergic response, resulting in production of allergic mucin (the main component…
-
5 Things You Need to Know About Fungal Sinusitis
Updated July 2025 A fungus can live in almost any place on Earth. This means no matter where you go, you’ll encounter fungi like mold, yeast or mildew. Most of the time, if you’re relatively…
-
5 Things You Need to Know About Fungal Sinusitis
A fungus can live in almost any place on Earth. This means no matter where you go, you’ll encounter fungi like mold, yeast or mildew. Most of the time, if you’re relatively healthy, these have…





